DBS Process Video 的热门建议 |
- DBS
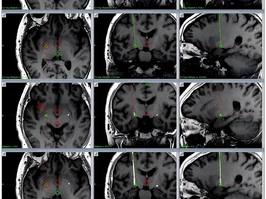
Surgery Videos - Process to Upgrade DBS
for Adaptive DBS - Radio DB
Explained - DBF to DB
Conversion Communications - Deep-Brain Stimulation
Parkinson Turkey - The Procedure of
DBS - DBS
Parkinson Disease - Before during and After
DBS Surgery - NIMHANS DBS
Surgery - DBS
Surgery for Essential Tremors - Restrictions After
DBS Surgery - Parkinson's DBS
Surgery - Best DBS
Surgeons - Headaches After
DBS Surgery - Bowstringing Pain Neck
DBS - Bowstringing Pain Neck DBS Surgery
热门视频
观看更多视频
更多类似内容
